Vloeren, nog nooit was er zoveel keuze in vloeren. Althans niet in zoveel soorten. Vroeger kon men kiezen tussen tapijt en vinyl. Later kwamen daar tegels, kurk en parket bij. Het leek alsof we genoeg keuzemogelijkheden hadden wat betreft vloeren, maar tegenwoordig lijkt het aanbod alleen maar te groeien.
Maar met het ruime aanbod van vloeren komt ook een belangrijke vraag naar boven: wordt het heden een herhaling van het verleden? We hebben namelijk al eerder meegemaakt dat bepaalde soorten vloeren schadelijke stoffen bevatten die later pas werden ontdekt.
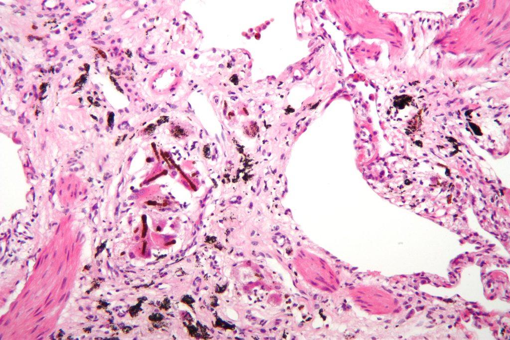
Een goed voorbeeld hiervan is asbest. Helaas kwamen we er te laat achter dat asbest enorm schadelijk was. Maar zeer veel vinyl vloeren en tapijten hadden een asbesthoudende rug. Dit heeft geleid tot tal van gezondheidsproblemen bij mensen die hier mee in contact kwamen. Velen overleden na een zwaar en pijnlijk ziekbed uiteindelijk aan asbestose.

Tegenwoordig wordt alles strenger gecontroleerd, althans dat is wat men bij het RIVM u doet geloven. Maar hoe kunnen we er zeker van zijn dat de vloer waarop wij lopen geen schadelijke stoffen bevat? En wat als we kinderen of kleinkinderen hebben die graag op de vloer spelen?
Het is daarom belangrijk om goed na te denken alvorens u iets aanschaft en uzelf af te vragen waar de vloer van gemaakt is en welke risico’s dit met zich meebrengt. Het is ook belangrijk om te weten welke soorten vloeren momenteel beschikbaar zijn en welke materialen hierbij worden gebruikt.
Een veelvoorkomende soort vloer tegenwoordig is laminaat. Laminaatvloeren hebben de laatste jaren aan populariteit gewonnen vanwege hun duurzaamheid, eenvoudige installatie en onderhoudsgemak. Maar wat veel mensen niet weten, is dat sommige laminaatvloeren formaldehyde bevatten, een stof die kanker kan veroorzaken bij langdurige blootstelling.
Het is daarom belangrijk om ervoor te zorgen dat uw laminaatvloer formaldehyde-vrij is en gemaakt van hoogwaardige materialen. U kunt dit controleren door het productlabel te bekijken of door contact op te nemen met de fabrikant.
Een andere populaire vloerbedekking zijn PVC-vloeren. PVC staat voor Polyvinylchloride en wordt vaak gebruikt in de bouw- en constructie-industrie vanwege zijn duurzaamheid en waterbestendigheid. Maar net als bij laminaatvloeren kunnen sommige PVC-vloeren gevaarlijke chemicaliën bevatten die zeer schadelijk zijn voor onze gezondheid.
Het is daarom belangrijk om ervoor te zorgen dat uw PVC-vloer geen weekmakers bevat die schadelijk kunnen zijn voor het milieu of de gezondheid. Er zijn al een paar PVC-vloeren beschikbaar die vrij zijn van deze stoffen.
Naast deze populaire vloersoorten worden er ook steeds meer natuurlijke vloeropties aangeboden, zoals houten vloeren en bamboe vloeren. Deze vloeropties zijn niet alleen duurzaam en milieuvriendelijk, maar ook vrij van schadelijke stoffen.
Maar het is belangrijk om te onthouden dat elke soort vloer zijn eigen voor- en nadelen heeft en dat de keuze afhankelijk is van uw persoonlijke voorkeur en situatie. Het is daarom belangrijk om goed onderzoek te doen naar de soorten vloeren die momenteel beschikbaar zijn en welke materialen hierbij worden gebruikt.
Als u kinderen of kleinkinderen heeft die graag op de vloer spelen, is het extra belangrijk om ervoor te zorgen dat uw vloer veilig is.
In conclusie, terwijl we steeds meer keuzemogelijkheden hebben wat betreft onze vloeren, moeten we ons bewust blijven van de mogelijke risico’s die bepaalde materialen met zich meebrengen. Het is daarom belangrijk om goed onderzoek te doen naar de soorten vloeren die momenteel beschikbaar zijn en welke materialen hierbij worden gebruikt alvorens u iets aanschaft.